高三女生“眼中风”永久致盲 黄金90分钟这些方法及时自救
创始人
2025-10-18 12:54:23
0

很多人听说过“脑中风”,但对于“眼中风”可能比较陌生。近日,一则“高三女生眼中风永久致盲”的消息登上热搜。江苏一名高三女生左眼突然失明,错过最佳就医时间,永久致盲。“眼中风”是一种什么样的疾病?发生后如何自救及治疗?

什么是“眼中风”?

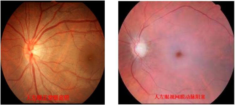
“眼中风”在医学上称为视网膜中央动脉阻塞,是由于视网膜中央动脉发生阻塞而造成的视网膜急性缺血性疾病,这种眼科急症可导致患者视功能严重受损甚至完全丧失。

视网膜就像照相机的胶卷底片,它将照入眼内的光转换为电信号,通过视神经传送至大脑,我们才能“看到”周围的事物。

视网膜对局部缺氧极其敏感,如果新鲜的动脉血不能进入和滋养视网膜,就会发生无痛性的突然视力下降或丧失,也就是出现“眼中风”。

需要注意的是,部分人在发生“眼中风”前会出现先兆症状:一只眼睛出现突发的、一过性黑曚,数秒或数分钟后视力自行恢复。很多人会误以为这是疲劳所致,睡一觉就好,殊不知这样很容易错过黄金治疗期。

发生“眼中风”后

如何自救及治疗?

“眼中风”的特点是发病急、症状重、不可逆,发病后90分钟内为黄金治疗期。一旦视网膜中央动脉缺血、坏死,错过最佳治疗时间,视力恢复的可能性非常小。发生“眼中风”后,应该如何自救?

首先应保持冷静,第一时间赶往医院眼科急诊。

家中如备有急救药物硝酸甘油,可舌下含服,以扩张视网膜中央动脉。

在到达医院前,用手掌按压眼球10秒,突然放松压迫,不断重复这个动作,持续10到15分钟,以减轻视网膜动脉灌注阻力,降低眼压。

预防“眼中风”

记住以下关键点

视网膜中央动脉阻塞多见于老年人。它的发生与高血压、高血糖、高血脂、心脏病等疾病密切相关。老年人血管弹性下降,管壁硬化,再加上老年人常有各类基础病,很容易罹患“眼中风”。

相关内容

每周股票复盘:白银有色(6...
截至2025年10月17日收盘,白银有色(601212)报收于6....
2025-10-19 04:50:45
每周股票复盘:西部黄金(6...
截至2025年10月17日收盘,西部黄金(601069)报收于33...
2025-10-19 04:50:14
每周股票复盘:招金黄金(0...
截至2025年10月17日收盘,招金黄金(000506)报收于14...
2025-10-19 04:50:02
每周股票复盘:山东黄金(6...
截至2025年10月17日收盘,山东黄金(600547)报收于40...
2025-10-19 04:49:42
微信支付与匈牙利国家旅游局...
新榜讯 10 月 18 日讯,近日,微信支付与匈牙利国家旅游局正式...
2025-10-19 03:12:48
突发!联合国面临破产危机,...
当地时间10月17日,联合国秘书长古特雷斯向联合国大会第五委员会提...
2025-10-19 03:12:33
【HICOOL大咖分享 |...
2025-10-19 03:12:33
经常HUI企 中银护航|中...
通讯员 徐加慧 自《国家外汇管理局关于进一步优化贸易外汇业务管理的...
2025-10-19 03:12:32
河津农村商业银行股份有限公...
近日,山西河津农村商业银行股份有限公司(以下简称“河津农商行”)被...
2025-10-19 03:12:05

热门资讯

每周股票复盘:招金黄金(000... 截至2025年10月17日收盘,招金黄金(000506)报收于14.65元,较上周的12.82元上涨...
微信支付与匈牙利国家旅游局正式... 新榜讯 10 月 18 日讯,近日,微信支付与匈牙利国家旅游局正式签署合作备忘录。此次合作聚焦旅游与...
每周股票复盘:交通银行(601... 截至2025年10月17日收盘,交通银行(601328)报收于6.98元,较上周的6.75元上涨3....
银行陆续下线电话银行部分功能,... 10月17日,浙商银行公告称,因业务调整,该行将于2025年11月14日下线电话银行个人存款交易类功...
临商银行召开2025年三季度经... 10月16日至17日,临商银行召开2025年三季度经营分析会议。会议全面总结前三季度经营管理情况,深...
光大银行一分行被罚171万元 10月18日,国家金融监督管理总局宁波监管局披露的行政处罚信息公开表显示,中国光大银行股份有限公司宁...
多家银行宣布:清理这类账户 近日,多家银行发布公告称,将对长期不动户进行清理,包括个人长期不动户和单位长期不动户。各家银行对长期...
黄仁勋站台 英伟达宣布台积电美... 黄仁勋 凤凰网科技讯 北京时间10月18日,据路透社报道,在AI芯片需求加速增长之际,英伟达周五宣布...
郑州交警提醒:明天启动临时交通... 随着2025中超联赛河南赛区河南俱乐部与长春亚泰的激烈对决即将到来,郑州交警提示广大市民,明天将对多...